Diagnostics
Without Delay

Capture. Analyze. Prevent. Experience a connected imaging workflow from capture to diagnosis in a single, mobile ecosystem.

Contact for Demo
DX-1 portable X-ray hardware device (placeholder)

The Problem

Addressing the Diagnostic Bottleneck

Clinicians reviewing imaging results (placeholder)

The Workflow Gap

Current X-ray diagnostics suffer from manual transfers, workstation dependency, and communication breakdowns between silos.

Infrastructure Barriers

Traditional systems rely on heavy on-premise servers and complex PACS setups that are often inaccessible to rural clinics or mobile units.

Explore the DX-1 Solution
“Our goal is to eliminate the turnaround time problem in imaging, providing radiographers and doctors with a seamless integration that works anytime, anywhere.”

DX-1 ADVANTAGE

Specialized Features

DX-1 hardware detail (placeholder)

Field-Optimized Design

A lightweight hardware solution weighing under 2 kg, specifically designed for outreach and mobile screening.

Touch-first capture interface (placeholder)

Touch-First Software

A seamless capture experience featuring smart alignment and real-time sharpness feedback.

Automated Precision

Point-Align-Capture system with integrated
Autofocus and Auto-Exposure technology

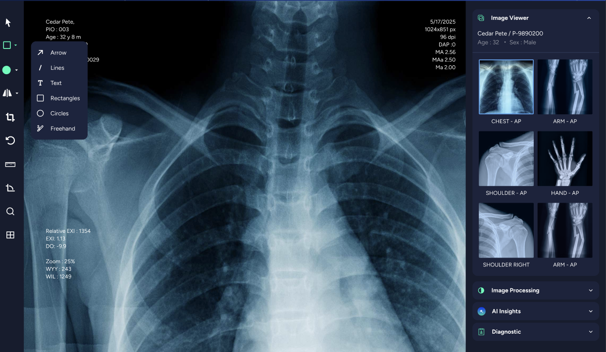
DX-1 SOFTWARE

Digital X-Ray Solution

X-ray viewer interface (placeholder)

Diagnostics Without Delay

A connected 30-second workflow bridging the gap
from patient registration to final reporting

AI-Driven Insights

Automated detection for fractures, lung opacity,
and TB patterns to assist clinical decision-making

AI insights overlay on X-ray (placeholder)
Report form interface (placeholder)

Instant Reporting

Generates polished radiology-grade PDF reports
in seconds with auto-filled patient data.

Technical Value Propositions

Mobility

Review X-rays on the go without being tied to a fixed workstation.

Security

Healthcare-compliant encrypted storage and transmission.

Reliability

Local processing power reduces the impact of unstable network environments.

Integration

Seamlessly connects with existing DR/CR X-ray systems and HIS/EMR platforms.

Speed

Faster imaging translates directly to faster clinical decisions and improved patient outcomes.

Collaborative Approach

Side-by-side comparison tools for current vs. prior results to enhance diagnostic accuracy

By the Numbers

30 Seconds

Average time for a full digital exam from registration to report.

< 2 kg

Total weight for high-portability field use.

16–bit

High-fidelity dynamic range for superior image depth.

5G Ready

Optional high-speed cellular connectivity for disaster and emergency response.

98%

AI Accuracy with advanced detection of tuberculosis and fracture patterns.

24/7

Cloud-ready ecosystem for remote radiological review.

Contact Us

Radiology professional reviewing scans (placeholder)